Παρασκευή 11 Οκτωβρίου 2013

Ειδοποίηση Google - medicine news

Ειδήσεις 1 νέο αποτέλεσμα για medicine news
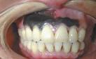
Διαγνώστηκε με μελάνωμα στα... ούλα Newsbeast.gr
Η περιοχή των ούλων του που είχε μαυρίσει είχε διαστάσεις 1,5 εκατοστά επί 4 εκατοστά, σύμφωνα με το επιστημονικό έντυπο New England Journal of Medicine.
Προβολή όλων των άρθρων σχετικά με αυτό το θέμα »

Διαγράψτε αυτή την ειδοποίηση.
Δημιουργήστε άλλη ειδοποίηση.
Διαχειριστείτε τις ειδοποιήσεις σας.

Δεν υπάρχουν σχόλια:

Δημοσίευση σχολίου